پیشنهاد سردبیر
تثبیت اقتدار ملی در گرو مهار تورم

شکست پروژه فرسایش امنیتی در جغرافیای انسجام

منشور رأفت نظام در برابر فرزندان فریب‌خورده

بازخوانی اقتدار ملی در بیانات رهبر انقلاب

 ذبح معیشت پای محاسبات غلط اقتصادی

نسخه‌های نئولیبرالی در جزایر امن تکنوکرات‌ها؛

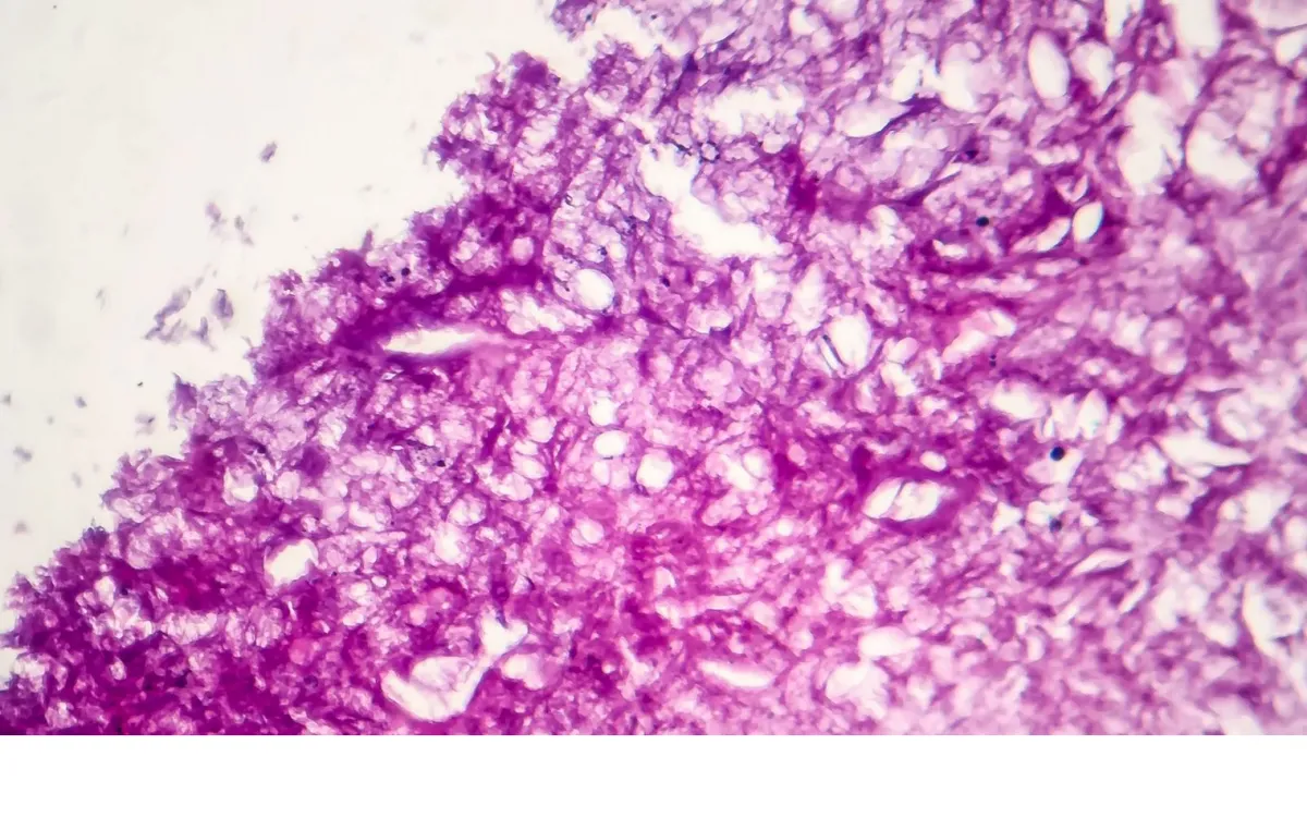
نابودی ۹۹ درصدی سلول‌های سرطانی ممکن شد

دانشمندان توانستند با استفاده از تکنیک «مولکول‌های ارتعاشی» بتوانند به مشکل مقاوم شدن سلول‌های سرطانی در مقابل داروهای شیمیایی موجود که درمان این بیماری را با دشواری مواجه می‌کند، پایان دهند. 

به گزارش گروه سلامت خبرگزاری علم و فناوری آنا، دانشمندان در مراحل اولیه تحقیقات خود در مورد تکنیک «مولکول‌های ارتعاشی» موفق شدند ۹۹ درصد از سلول‌های ملانوما را که نوعی از سرطان پوست است، در آزمایشگاه ریشه کن کردند.

ایجاد ارتعاش در مولکول‌ها در این روش با استفاده از نور مادون قرمز انجام می‌شود. محققان دریافتند که این روشِ تحریک مولکول‌ها در برابر کشت‌های آزمایشگاهی سلول‌های ملانوم موثر است.

در پی استفاده از این روش، چیزی به نام پلاسمون شکل می‌گیرد که به مثابه نوسان سریع الکترون‌ها در مولکول همانند عقب و جلو رفتن امواج دریا است. این پدیده باعث می‌شود که غشای سلول‌های سرطانی پاره شود.

سیسرون آیالا-اورزکو، محقق دانشگاه رایس در ایالات متحده و نویسنده اصلی نتایج این پژوهش، گفت: «ارتعاش فعال شده توسط نور نزدیک به مادون قرمز هر چیزی را که توسط مولکول احاطه شده باشد که در این مورد، سلول سرطانی است، نابود می‌کند.»

دانشمندان امیدوارند که با استفاده از این روش بتوانند به مشکل مقاوم شدن سلول‌های سرطانی در مقابل داروهای شیمیایی موجود که درمان این بیماری را با دشواری مواجه می‌کند، پایان دهند. 

انتهای پیام/

ارسال نظر