علم - فناوری +

فناوری +
دوستی‌های زنانه راز بقای شامپانزه‌های نوزاد

دوستی‌های زنانه راز بقای شامپانزه‌های نوزاد

در طبیعت وحشی، زندگی اجتماعی می‌تواند ضامن بقا باشد. برای شامپانزه‌های ماده، پیوند با دیگران تنها به مثابه «چسب عاطفی» عمل نمی‌کند بلکه برای زنده ماندن نوزادان حیاتی است. بررسی این نزدیک‌ترین خویشاوندان زنده انسانی با شباهت ژنتیکی بیش از ۹۸ درصد چه بسا آینه‌ای برای نگاه کردن به زندگی خودمان باشد.
فضای مجازی؛ یک جبهه نظامی بدون گلوله
محمد جواد مطهری شریف در گفت‌وگو با آنا بررسی کرد

فضای مجازی؛ یک جبهه نظامی بدون گلوله

فضای مجازی امروز به جای یک بستر صرفاً ارتباطی، به میدان نبردی تمام‌عیار در جنگ نرم تبدیل شده است؛ جایی که امنیت ملی، هویت فرهنگی و استقلال فناوری کشور‌ها در معرض تهدید‌های بی‌وقفه قرار دارد. ایران نیز با توجه به موقعیت ژئوپلیتیکی خاص خود، نیازمند مدیریت هوشمندانه، توسعه زیرساخت‌های بومی و کنترل هدفمند بر این فضاست. این گفت‌و‌گو، ابعاد گوناگون این ضرورت ملی را با نگاهی عمیق و واقع‌گرایانه بررسی می‌کند.
پایان یک افسانه؛ چپ‌دست‌ها لزوما خلاق‌تر نیستند

پایان یک افسانه؛ چپ‌دست‌ها لزوما خلاق‌تر نیستند

داستان خلاقیت چپ‌دست‌ها سال‌هاست که مطرح شده و به عنوان یک باور عمومی پذیرفته شده است. اما بررسی داده‌های یک قرن اخیر نشان می‌دهد که واقعیت پشت این افسانه بسیار پیچیده‌تر و متفاوت‌تر از آن چیزی است که تصور می‌شد. کشف این حقیقت، نگاه ما به رابطه میان دست‌برتری و خلاقیت را به کلی تغییر می‌دهد.
چرا وقتی دستانمان خیس می‌شوند، چین می‌خورند؟

چرا وقتی دستانمان خیس می‌شوند، چین می‌خورند؟

پشت این واکنش آشنا، سازوکارهای فیزیولوژیکی، عصبی و حتی تکاملی پیچیده‌ای نهفته است که نشان می‌دهند چین‌خوردگی پوست انگشتان ممکن است بیشتر از یک واکنش تصادفی به آب، یک سازوکار هوشمندانه و تطبیقی باشد. اما دقیقاً چه اتفاقی در بدن می‌افتد؟ و چرا فقط دست‌ها و پاها چین می‌خورند و نه تمام بدن؟ و آیا هر بار پوست ما یک جور چین می‌خورد؟
چگونه گوارش رویاهای ما را کارگردانی می‌کند
لاکتوز و کابوس‌های شبانه؛ رابطه‌ای عجیب بین گوارش و خواب

چگونه گوارش رویاهای ما را کارگردانی می‌کند

رابطه تغذیه و رؤیا همواره در مرز میان علم و باورهای عمومی قرار داشته، اما اکنون شواهدی علمی در حال ظهور است که این پیوند را جدی‌تر از همیشه مطرح می‌کند. مصرف لبنیات، به‌ویژه در افراد دارای عدم تحمل لاکتوز، نه‌تنها می‌تواند خواب را مختل کند، بلکه ممکن است محرکی برای کابوس‌های شبانه باشد و این پرسش را مطرح می‌کند که آیا دستگاه گوارش می‌تواند محتوای رؤیاهای ما را شکل دهد؟
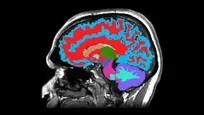
تصویر مغز شما می‌گوید چه قدر سریع پیر می‌شوید
درون‌بینی مغز؛ کلید پیش‌بینی بیماری‌های عصبی و قلبی

تصویر مغز شما می‌گوید چه قدر سریع پیر می‌شوید

فرصتی بی‌سابقه برای کشف راز‌های پنهان پیری و تغییر مسیر زندگی‌های انسانی در دستان علم امروز قرار گرفته است. با تکنولوژی‌های نوین تصویربرداری مغزی و الگوریتم‌های پیشرفته، اکنون می‌توان سرعت پیری را پیش از آنکه علائم آشکار شود، اندازه گرفت و به مقابله با بیماری‌های مزمن و زوال ذهنی پرداخت. این پیشرفت، دریچه‌ای نو به سوی پیشگیری، درمان به موقع و ارتقای کیفیت زندگی در دنیای رو به سالمندی باز کرده است.
میزوفونیا؛ نفرت غیرقابل کنترل از صدای جویدن
وقتی صداهای معمولی غیرقابل‌تحمل می‌شوند

میزوفونیا؛ نفرت غیرقابل کنترل از صدای جویدن

یک صدای ساده مثل جویدن، برای بسیاری بی‌اهمیت است، اما برای برخی تبدیل به جرقه‌ای می‌شود که خشم و اضطراب را شعله‌ور می‌کند. «میزوفونیا»، اختلالی ناشناخته و پیچیده، این واکنش‌های غیرقابل کنترل را به همراه دارد و مرزهای شناخت ما از صدا و احساس را به چالش می‌کشد. پشت پرده این تجربه، داستانی عمیق از تعامل مغز، ژنتیک و هیجان‌ها جریان دارد.
داروهای مسکنی که از زباله‌های پلاستیک‌ ساخته می‌شوند
کشفی نوین در تقاطع شیمی و زیست‌فناوری برای تولید پایدار دارو

داروهای مسکنی که از زباله‌های پلاستیک‌ ساخته می‌شوند

محققان موفق شده‌اند روشی نوآورانه برای تبدیل زباله‌های پلاستیکی به داروی مسکن استامینوفن ابداع کنند؛ روشی که علاوه بر پایدارتر کردن تولید دارو، می‌تواند به پاکسازی محیط زیست نیز کمک کند. این کشف علمی چشم‌اندازی جدید برای تولید داروهای دوستدار طبیعت و آینده‌ای سالم‌تر پیش‌ رو قرار می‌دهد.
طبیعت الهام بخش؛ از میگوی آخوندکی تا مواد ضدضربه جدید

طبیعت الهام بخش؛ از میگوی آخوندکی تا مواد ضدضربه جدید

طبیعت همیشه برای انسان‌ها الهام بخش بوده است و برخی از نوآورانه‌ترین و مفیدترین اختراعات بشر از طبیعت الهام گرفته شده‌اند. در همین راستا دانشمندان به تازگی با ایده گرفتن از ساختار ضربه‌گیر بدن میگوی آخوندکی، مواد مقاوم در برابر ضربه تولید کردند.
آیا علم می‌تواند به حل بحران کم‌آبی در ایران کمک کند؟

آیا علم می‌تواند به حل بحران کم‌آبی در ایران کمک کند؟

کشور ما در حال تجربه کردن یکی از سخت‌ترین دوره‌های تاریخی خود در زمینه بحران آب است و روز به روز نیاز به یافتن راه‌حلی برای عبور موفق از این بحران بیشتر احساس می‌شود. در این گزارش به تجربه برخی کشورها در استفاده از روش‌های علمی می‌پردازیم.
نیازمندیها