تصویر مغز شما میگوید چه قدر سریع پیر میشوید
پیری، برخلاف تصور عمومی، فرایندی یکنواخت و قابل پیشبینی نیست. دو فرد با سن تقویمی مشابه ممکن است از نظر وضعیت زیستی تفاوتهای چشمگیری داشته باشند. یکی ممکن است همچنان از نظر شناختی فعال، از نظر بدنی توانا و از نظر متابولیک پایدار باقی بماند، در حالی که دیگری در همان سن دچار تحلیل ذهنی، ضعف جسمانی و اختلالات گوناگون در سیستمهای بدنی شده باشد. این تفاوتها پژوهشگران را به این باور رسانده که سن واقعی یا «پیری زیستی» (biological aging) بهمراتب مهمتر از سن تقویمی در تعیین سلامت و کیفیت زندگی است.
کشف سرعت پیری؛ ابزارهای نوین در خدمت پیشگیری
سؤال اصلی در حوزه سالمندی دیگر این نیست که «چقدر پیر هستیم؟»، بلکه «چقدر سریع در حال پیر شدنیم؟» است. پاسخ به این پرسش میتواند نهتنها خطر بروز بیماریهای مزمن مانند «زوال عقل» (dementia) یا «بیماریهای قلبی عروقی» (cardiovascular diseases) را پیشبینی کند، بلکه مسیر مداخلات درمانی و سبک زندگی را نیز تغییر دهد. به همین دلیل، پژوهشگران در تلاشاند ابزارهایی خلق کنند که سرعت پیری را در افراد، پیش از بروز نشانههای بیماری، شناسایی کنند.
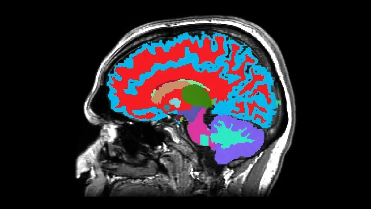
تصویربرداری عصبی یا نمایی دقیق از آینده سلامت فرد
ابزار جدیدی که با استفاده از «تصویربرداری رزونانس مغناطیسی» (MRI: Magnetic Resonance Imaging) توسعه یافته، این امکان را فراهم میکند تا تنها از طریق یک تصویر مغزی، شاخصهایی مرتبط با پیری شناسایی شود. این مدل با بهرهگیری از الگوریتمهای «یادگیری ماشین» (machine learning) میتواند سرعت پیری یک فرد را بر اساس ویژگیهای ساختاری مغز، از جمله حجم ماده خاکستری، ضخامت قشر مغز (cortex) و سلامت «هیپوکامپ» (hippocampus)، برآورد کند.
هیپوکامپ که نقشی کلیدی در حافظه و یادگیری دارد، یکی از نخستین مناطقی است که در بیماریهای نورودژنراتیو مانند «آلزایمر» (Alzheimer's disease) دچار تحلیل میشود. کاهش زودهنگام در اندازه این بخش از مغز، حتی پیش از بروز اختلالات شناختی آشکار، میتواند نشانهای از تسریع در روند پیری عصبی باشد. این کشف به پژوهشگران اجازه داده تا به جای واکنش به بیماری در مراحل پیشرفته، به پیشبینی و پیشگیری بپردازند.
مطالعه طولی «دوندین»؛ پایگاهی بینظیر برای تحلیل پیری
دقت این مدل درگرو دادههای غنی مطالعه «دوندین» (Dunedin Study) است؛ پژوهشی طولی که بیش از هزار نفر را از زمان تولد در دهه ۱۹۷۰ در نیوزیلند تا میانسالی و کهنسالی دنبال کرده است. این مطالعه نهتنها اطلاعات زیستی، بلکه دادههای روانشناختی، اجتماعی و رفتاری را نیز در اختیار پژوهشگران قرار داده است. مدل مذکور با استفاده از اسکن MRI افراد در سن ۴۵ سالگی و دادههای زیستی ۲۰ سال گذشته آنان، الگوریتمی را شکل داده که میتواند «شتاب پیری» را با دقتی قابل قبول پیشبینی کند.
پیشبینی بیماریهای مزمن؛ از نظریه تا کاربرد
تحلیل مدل بر روی مجموعههای دادهای مستقل از کشورهای مختلف از جمله ایالات متحده، بریتانیا، کانادا و آمریکای لاتین نشان داده که افرادی که طبق این ابزار سریعتر پیر میشوند، نهتنها عملکرد شناختی ضعیفتری دارند بلکه بیشتر در معرض کاهش حجم هیپوکامپ، ابتلا به «زوال عقل» و حتی مرگ زودرس قرار میگیرند. در یکی از تحلیلها مشخص شد افرادی که بالاترین سرعت پیری را داشتند، تا ۶۰٪ بیشتر از سایرین احتمال ابتلا به زوال عقل در سالهای آینده را تجربه میکردند.
علاوه بر این، شتاب بیشتر در پیری با ابتلا به بیماریهایی، چون «بیماریهای ریوی»، «سکته مغزی» و «نارسایی قلبی» نیز ارتباط دارد. پژوهشگران دریافتند که افراد با نرخ پیری بالا تا ۴۰٪ بیشتر از دیگران در معرض مرگ زودرس قرار دارند. این یافتهها نشان میدهد که مغز، نهتنها بازتابی از سلامت روانی، بلکه نمایندهای از سلامت فیزیولوژیک کل بدن است.
از پژوهش تا مراقبتهای بالینی
در حالی که درمان بسیاری از بیماریهای وابسته به سن هنوز چالشبرانگیز است، شناسایی زودهنگام میتواند فرصتی طلایی برای پیشگیری و مداخله بهموقع فراهم کند. بسیاری از داروهایی که برای درمان آلزایمر ساخته شدهاند، به دلیل آغاز دیرهنگام درمان، موفق به جلوگیری از پیشرفت بیماری نشدهاند؛ زیرا آسیبهای ساختاری پیش از شروع درمان بهمراتب گسترده شدهاند. اما مدل جدید میتواند زمینه را برای شروع مداخلات پیش از بروز علائم فراهم کند.
این مداخلات میتواند شامل تغییر در رژیم غذایی، افزایش فعالیت بدنی، کاهش استرس، بهبود خواب و درمان اختلالات روانی باشد؛ عواملی که همگی با سرعت پیری در ارتباط هستند. همچنین این ابزار میتواند به پژوهشگرانی که به دادههای MRI دسترسی دارند، در بررسی تأثیر عوامل محیطی و سبک زندگی بر روند پیری کمک کند؛ آنهم در زمانی بسیار کوتاهتر از دورههای طولی سنتی.
پاسخ به بحرانی جهانی
در حالیکه جمعیت سالمند جهان رو به افزایش است و پیشبینیها از دو برابر شدن تعداد افراد بالای ۶۵ سال تا سال ۲۰۵۰ حکایت دارد، بیماریهایی، چون زوال عقل، بار سنگینی بر سیستمهای درمانی و اقتصادی کشورها وارد خواهند کرد.
در چنین شرایطی، مدلهایی مانند «DunedinPACE» یا «DunedinPACNI» میتوانند بهعنوان ابزارهایی ارزان، غیرتهاجمی و قابل تکرار، نقش مهمی در پایش سلامت عمومی، طراحی مداخلات بهموقع و برنامهریزیهای کلان بهداشتی ایفا کنند. این مدلها همچنین میتوانند شکاف نابرابری در مراقبتهای بهداشتی را کاهش دهند؛ زیرا تحلیلها نشان داده که کارایی مدل در جمعیتهای متنوع، از جمله اقلیتهای قومی و گروههای با درآمد پایین نیز پابرجاست.
آغاز عصر پیشبینیپذیری در سالمندی
آنچه در این پژوهش برجسته است، نهتنها نوآوری فناورانه بلکه تغییری بنیادی در درک ما از پیری است. به جای آنکه بیماری را در مراحل پیشرفته شناسایی کنیم، اکنون میتوانیم روند آن را در مراحل خاموش شناسایی کرده و آینده سلامت فرد را از تصویری ساده از مغز پیشبینی کنیم. این دستاورد نشان میدهد که مغز، نه فقط محل تفکر و احساس، بلکه سنگنوشتهای از آینده زیستی ماست.
انتهای پیام/


