درمان سرطان پوست به کمک پوست مصنوعی
به گزارش خبرنگار علم و فناوری آنا، در یک بدن سالم، آسیب به پوست باعث نمیشود که سلولهای پوست به منطقه زخمی شده حمله کنند؛ بلکه واکنش دفاعی پوست به آسیب این است که با تولید لایههای جدید پوست، روی منطقه زخمی شده را میپوشاند.
با این حال، در صورت وجود سرطان، سلولهای پوست دیگر در یک ناحیه باقی نمانده و شروع به حرکت در مرزهای بین لایههای مختلف میکنند. این رفتار میتواند منجر به رشد سرطان و ایجاد شکل تهاجمی بیماری شود.
هانس واندال (Hans Wandall)، استاد گروه پزشکی سلولی و مولکولی در دانشگاه کپنهاگ، در این رابطه میگوید: در حال مطالعه مسیرهای سیگنال دهی سلولهای پوست یا به اصطلاح مسیر بتای TGF هستیم. این مسیر نقش مهمی در ارتباط سلول با محیط اطراف خود دارد و به عنوان مثال رشد و تقسیم سلولی را کنترل میکند.
متاسفانه اگر این مکانیسمها آسیب ببینند، سلول ممکن است به یک سلول سرطانی تبدیل شده و به بافت اطراف خود حمله کند.
خوشبختانه در حال حاضر داروهایی در دسترس هستند که میتوانند مسیر سیگنالهای TGF را مسدود کنند، قدم بعدی ما برای مهار سلولهای سرطانی، استفاده از پوست مصنوعی و آزمایش آن در مدل سرطان پوست است.
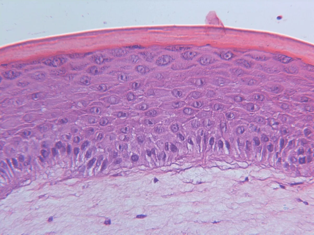
تاکنون، پوست مصنوعی ایجاد شده توسط محققان نزدیکترین حالت به عملکرد پوست واقعی انسان را داشته و این نسخه مصنوعی از سلولهای پوست دستکاری شده ژنتیکی انسان ایجاد شده که از بافت لایه دوم پوست یا لایه زیر جلدی ساخته شده اند. باید توجه داشت که این پوست مصنوعی مانند پوست واقعی انسان به صورت لایهای رشد میکنند.
این مدل به محققان اجازه میدهد تا به سرعت تغییرات ژنتیکی را در سلولها ایجاد کنند که به آنها کمک میکند تا انواع اختلالات پوستی و نه فقط سرطان پوست را شبیه سازی و مطالعه کنند.
از سوی دیگر پزشکان میتوانند با استفاده از پوست مصنوعی انسان، مانع بالقوه مشکل ساز انتقال نتایج آزمایشهای انجام شده روی مدلهای حیوانی و تطبیق آن با بافت انسان را پشت سر بگذارند. پیش از این، دانشمندان در بیشتر مطالعات خود از مدلهای موش استفاده میکردند.
استفاده از این پوست مصنوعی میتواند در صنایع آرایشی نیز مفید بوده و از آزار حیوانات جلوگیری کند. در حوزه دارویی نیز محققان میتوانند به آزمایش تاثیر داروهای مختلف روی پوست انسان بپردازند هرچند محققان قادر نیستند با استفاده از این پوست مصنوعی، اثر یک دارو را بر روی کل اندامهای انسان آزمایش کنند، اما شباهت جالب توجه این پوست با پوست طبیعی انسان به پژوهشگران اجازه میدهد تا نگاهی عمیق به نحوه عملکرد مولکولها و اتفاقاتی که در هنگام آسیب پوستی رخ میدهد، داشته باشد.
شرح کامل این پژوهش در آخرین شماره مجله تخصصی Science Signaling منتشر شده است.
انتهای پیام/


