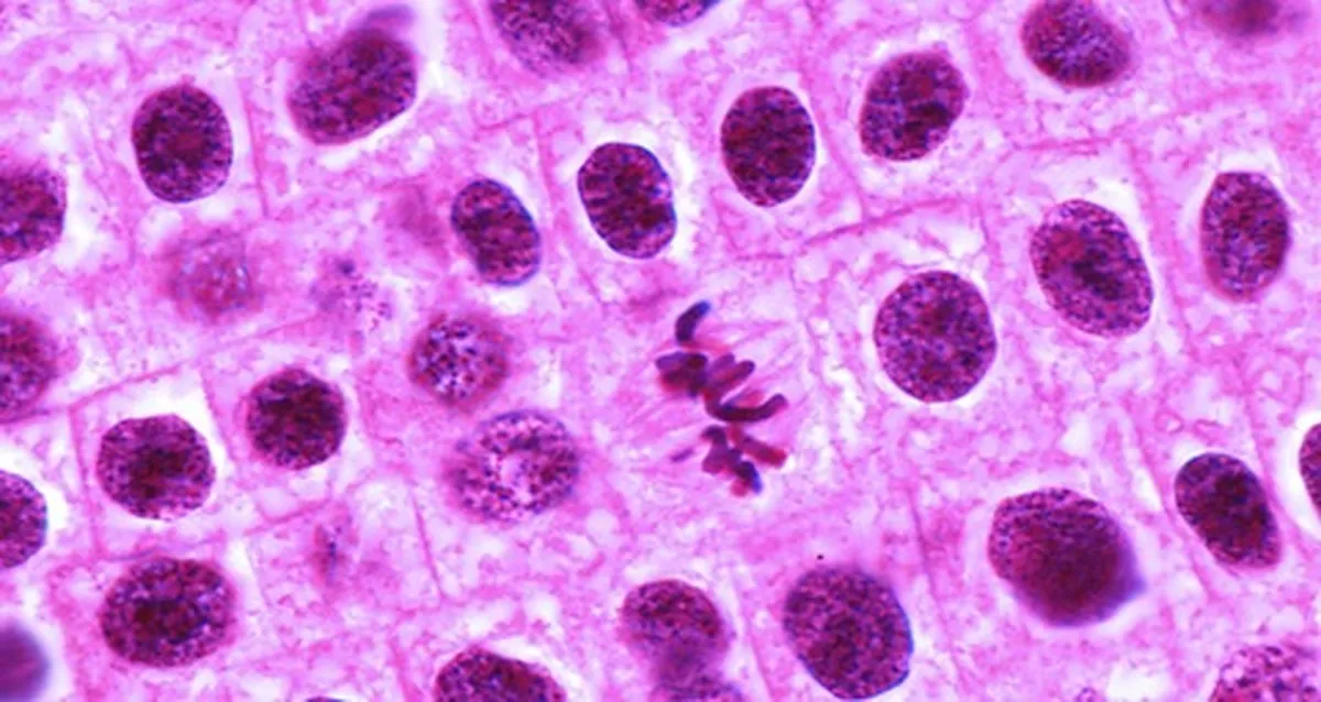
دوک میتوزی؛ ارکستری برای تقسیم سلول
در یک دستاورد بزرگ در زمینه زیستشناسی سلولی، گروهی از دانشمندان موفق به شناسایی مکانیسم دقیق تشکیل و عملکرد دوک میتوزی (Mitotic Spindle) شدند. ساختاری کلیدی که در فرآیند تقسیم سلولی انسانی نقش دارد. این کشف میتواند به ما کمک کند تا درک بهتری از نحوه حفظ ثبات ژنوم و همچنین علل بروز اختلالات ژنتیکی مانند سرطان پیدا کنیم.
دوک میتوزی یک ساختار پروتئینی پیچیده است که بدون برنامه قبلی و بهصورت خودسازمانیافته (self-organizing) در طول میتوز تشکیل میشود. این ساختار نه تنها مسئول جدا کردن کروموزومها در طول تقسیم سلولی است، بلکه شامل مکانیسمهایی است که خطاها را شناسایی و اصلاح میکند.
تحقیقات جدید منتشر شده، به روشن کردن نقش Ran-GTP و موتورهای مولکولی در تشکیل دوک و نظارت بر دقت تقسیم سلولی پرداخته است.
دوک میتوزی ساختاری هوشمند و خودسازمانیافته
در گذشته، دوک میتوزی بیشتر به عنوان یک سازه مکانیکی و غیرفعال توصیف میشد که فقط وظیفه داشت کروموزومها را به دو سمت مقابل سلول بکشد. اما دانشمندان اکنون متوجه شدهاند که این ساختار بسیار پویا، انعطافپذیر و تحت کنترل شبکهای از پروتئینها و سیگنالهای داخلی است.

خودسازمانی دوک
یکی از شگفتیهای دوک میتوزی، این است که آن را هیچ برنامه ژنتیکی مشخصی «درونریخت» نمیکند. بلکه این ساختار بهطور خودکار و در واکنش به تغییرات محیط داخلی سلول، خودسازمانی (self-organization) میکند. این فرآیند توسط Ran-GTP (پروتئینی که در نزدیکی کروموزومها تجمع مییابد و باعث فعالسازی پروتئینهایی میشود که منجر به تشکیل ریزلولههای دوک میشوند) کنترل میشود. این مکانیسم اجازه میدهد دوک بهصورت دقیق و در زمان مناسب تشکیل شود، حتی اگر شرایط سلولی تغییر کند.
نقطه وارسی دوک، ناظر بر دقت تقسیم سلولی
یکی از مهمترین مکانیسمهای حفاظتی در میتوز، نقطه وارسی دوک (Spindle Assembly Checkpoint - SAC) است. این سیستم مطمئن میشود که تمام کروموزومها بهدرستی به ریزلولههای دوک متصل شدهاند و تحت کشش مناسبی (Tension) قرار دارند. در صورت عدم اتصال صحیح، این سیستم فعال میشود و ورود سلول به مرحله آنافاز بعدی میتوز را متوقف میکند. این مکانیسم نقش کلیدی در پیشگیری از آنهپلوئیدی (aneuploidy) دارد؛ وضعیتی که در بسیاری از انواع سرطانها دیده میشود.

موتورهای مولکولی، نیروی محرکه دوک
موتورهای مولکولی مانند کینزین (Kinesin) و داینین (Dynein) نقشهای مختلفی در تشکیل و عملکرد دوک مانند جدا کردن سانتروزوومها، جابجا کردن کروموزومها و ایجاد نیروهای تعادلی در دوک ایفا میکنند.
این موتورها انرژی لازم خود را از هیدرولیز ATP میگیرند و قادرند با دقت بالایی عمل کنند. این خاصیت آنها را به «ماشینهای نانویی» زیستی تبدیل کرده است.
مقایسه دوک با "فناوری نانو"
با توجه به دقت بالا، خودسازمانی، توانایی اصلاح خطا و انعطافپذیری، میتوان دوک میتوزی را نوعی "ماشین مولکولی" یا "فناوری نانو زیستی" دانست که در طول تکامل طراحی شده است. این ساختار دارای قطعات متحرک (ریزلولهها و موتورهای مولکولی)، سیستمهای نظارتی (نقطه وارسی دوک) و دارای قابلیت تطبیقپذیری با شرایط مختلف داخل سلول است. این ویژگیها، دوک میتوزی را به یکی از جذابترین موضوعات در زیستشناسی سلولی و بیولوژی مولکولی تبدیل کرده است.
نتایج تحقیقات جدید
در تحقیقات اخیر منتشر شده در مجله nature cell biology، دانشمندان با استفاده از میکروسکوپی فلوئورسانس فوق العاده با وضوح بالا (Super-resolution microscopy) و تکنیکهای ژنتیکی CRISPR-Cas۹، توانستند تعیین کنند که چگونه Ran-GTP باعث جمعشدگی پروتئینهای دوک میشود؛ مشاهده کنند که چگونه موتورهای مولکولی نیروی لازم برای حرکت کروموزومها را فراهم میکنند. همینطورثبت کنند که چگونه سیستمهای نظارتی مثل SAC در زمان واقعی واکنش نشان میدهند. این دادهها نشان میدهند که دوک میتوزی یک سیستم هوشمند، خودسازمانیافته و واکنشگویی به شرایط محیطی است.
آینده تحقیقات
این کشف میتواند به توسعه روشهای تشخیصی جدید برای شناسایی زودهنگام اختلالات ژنتیکی و همچنین طراحی داروهای ضدسرطانی هدفمند منجر شود. بهویژه داروهایی که به نقطه وارسی دوک یا موتورهای مولکولی هدف میزنند، میتوانند به عنوان راهکارهایی برای مهار سلولهای سرطانی عمل کنند.
انتهای پیام/


