آخرین اخبار:
پیشنهاد سردبیر
تثبیت اقتدار ملی در گرو مهار تورم

شکست پروژه فرسایش امنیتی در جغرافیای انسجام

منشور رأفت نظام در برابر فرزندان فریب‌خورده

بازخوانی اقتدار ملی در بیانات رهبر انقلاب

 ذبح معیشت پای محاسبات غلط اقتصادی

نسخه‌های نئولیبرالی در جزایر امن تکنوکرات‌ها؛

15:06 19 / 09 /1403

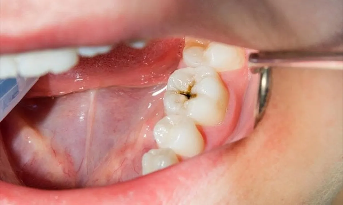
خداحافظی با پوسیدگی و آسیب‌های دندانی

رشد و بازسازی طبیعی دندان‌ها به کمک فناوری سلول‌های بنیادی و نانو‌ساختار‌ها امکانپذیر شد.

به گزارش خبرگزاری آنا، در پژوهشی با محوریت محققان ایرانی، راهکار درمانی جدیدی که امکان بازسازی طبیعی دندان‌ها با استفاده از سلول‌های بنیادی مشتق شده از پالپ دندان و نانوساختار‌های اصلاح سطح شده را فراهم می‌سازد، ارایه شد که این دستاورد نویدبخش تحولی بزرگ در دندانپزشکی بازساختی است.

 روش درمانی جدیدی که حاصل همکاری محققان این مرکز و دانشگاه‌های معتبر داخلی و خارجی نظیر دانشگاه تهران، دانشگاه شهید بهشتی، انستیتو پاستور ایران، دانشگاه پزشکی ونژو چین، دانشگاه ساوینتای هند و دانشگاه ایستینیه ترکیه است، روش نوآورانه‌ای برای ترمیم آسیب‌های استخوانی و دندانی محسوب می‌شود.

با توجه به نرخ بالای پوسیدگی دندانی در جوامع مختلف، علیرغم پیشرفت‌های فراوان دندانپزشکی ترمیم، ارایه روشی برای بازسازی طبیعی دندان‌هایی مقاوم به پوسیدگی که عملکرد و زیبایی دندان‌های طبیعی را داشته باشند، از دیرباز مورد توجه محققان حوزه پزشکی بازساختی بوده است.

اگرچه امروز هنوز با رشد مجدد دندان‌ها در دهان بیمار فاصله وجود دارد اما پیشرفت‌های فراوان علوم سلول‌های بنیادی و فناوری‌های نانو در سال‌های اخیر، رسیدن به این آینده را از آنچه فکر می‌کنید نزدیک‌تر ساخته است.

تاکنون بسیاری از مطالعات با استفاده از سلول‌های بنیادی دندانی، مشکلات دندانی مختلف مانند التهاب، پالپیت، ضایعات پری آپیکال، بیماری لثه و شرایطی مانند شکاف لب و کام را درمان کرده‌اند اما روش درمانی جدید پیشنهاد شده پژوهش یاد شده، طی کشت سلول‌های بنیادی دندانی به روی داربست سلولزی همراه با القاگر طبیعی و پلی فنول طبیعی پروآنتوسیانیدین نه‌تن‌ها به سلول‌های بنیادی کمک می‌کند تا به سلول‌های دندانی تمایز یابند، بلکه رشد و تکثیر آنها را بدون نیاز به آنتی‌بیوتیک‌ها ممکن می‌سازد.

نتایج بررسی یادشده نشان دادند که داربست سلولی توسعه‌یافته، با شبیه سازی ساختار محیط دندانی امکان بازسازی سریع بافت دندانی را فراهم ساخته و تشکیل مجدد عروق و کاهش التهاب محیط پیرامونی نیز عملکرد چشمگیری داشته است.

ویژگی‌های یادشده، این فناوری را به راه‌حلی جامع و مقرون به صرفه، قابل تکرار و زیست سازگار برای ترمیم دندان در مقایسه با مواد زیستی مصنوعی کنونی تبدیل می‌کند.

این دستاورد که در قالب پایان نامه و در نتیجه همکاری بین رشته‌ای میان دانشگاه‌های داخلی و خارجی توسط احمد حسن زاده تحت راهنمایی دکتر حسین شاهسوارانی و دکتر جواد محمدی حاصل شده است، توانمندی‌های علمی جوانان و دانشجویان تحصیلات تکمیلی ایرانی را در سطح جهانی به‌رغم محدودیت‌های ناشی از تحریم‌های ناجوانمردانه به نمایش گذاشته است که انتظار می‌رود ادامه مطالعات پیش کلینیکی و کلینیکی پژوهش مورد اشاره، آینده‌ای را حاصل کند که در آن رشد دندان‌های طبیعی یک واقعیت بالینی و یک روش درمانی باشد که دندانپزشکان بتوانند به بیماران بی‌دندان خود ارائه دهند.

.

انتهای پیام/

ارسال نظر