آخرین اخبار:
پیشنهاد سردبیر
تثبیت اقتدار ملی در گرو مهار تورم

شکست پروژه فرسایش امنیتی در جغرافیای انسجام

منشور رأفت نظام در برابر فرزندان فریب‌خورده

بازخوانی اقتدار ملی در بیانات رهبر انقلاب

 ذبح معیشت پای محاسبات غلط اقتصادی

نسخه‌های نئولیبرالی در جزایر امن تکنوکرات‌ها؛

11:52 30 / 03 /1402

درمان دیابت نوع یک با ترکیب دارویی جدید

محققان موفق شدند با ترکیب دارو‌های درمان سرطان و ضدالتهاب برگرفته از طبیعت، بیماری دیابت نوع یک را درمان کنند.

به گزارش خبرنگار علم و فناوری خبرگزاری آنا، محققان داروهای درمان سرطان را با داروهای ضدالتهاب برگرفته از طبیعت ترکیب کردند تا سلول‌های پانکراس را تحریک کنند که سلول‌های تولیدکننده انسولین بسازند و در درمان دیابت نوع یک استفاده شود.

یافته‌های این تحقیق به ایجاد روش جایگزینی برای احیای تولید انسولین در افراد مبتلا به دیابت نوع یک کمک می‌کند. در دیابت نوع یک سیستم ایمنی بدن به سلول‌های بتای پانکراس آسیب رسانده یا آنها را از بین برده که در نتیجه انسولین اندکی تولید می‌شود یا اصلاً انسولین نمی‌سازند. تحقیقات زیادی برای توسعه درمانی جدید بازتولید سلول‌های بتا انجام شده ازجمله تبدیل سلول‌های بنیادین از نقاط دیگر بدن به سلول‌های تولیدکننده این ماده.

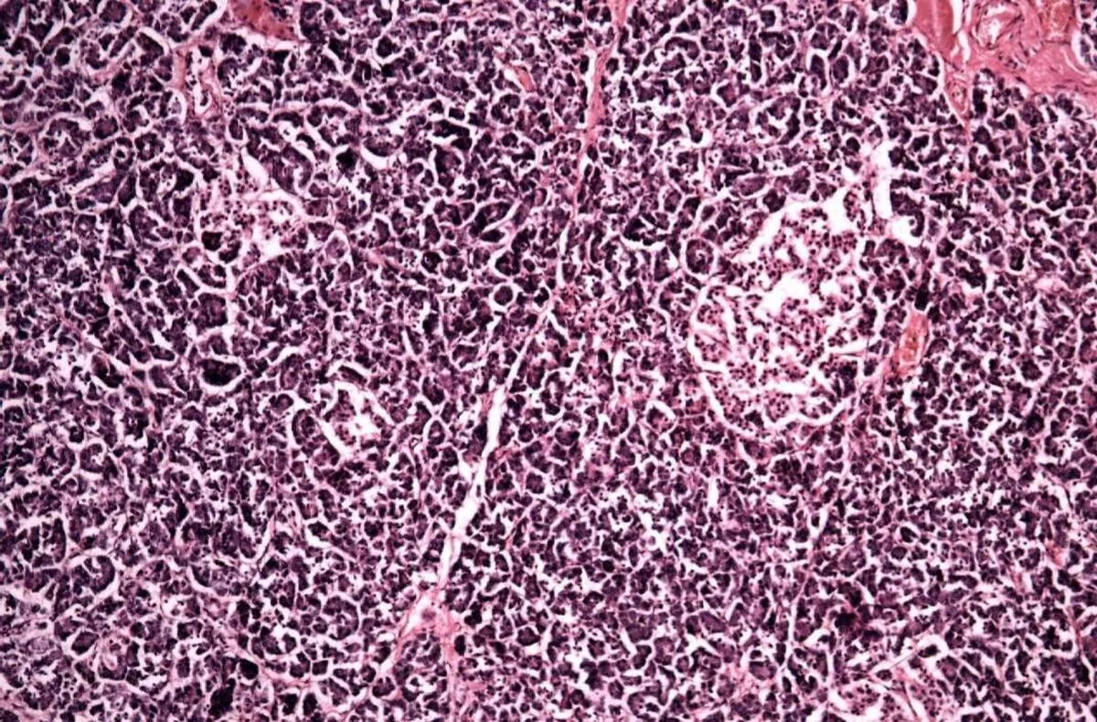
پانکراس از سلول‌های برون‌ریز و غدد درون‌ریز تشکیل شده است. سلول‌های غدد درون‌ریز مواردی هستند که هورمون‌هایی ازجمله انسولین را ترشح می‌کنند و سلول‌های برون‌ریز آنزیم‌هایی می‌سازند که در روده کوچک ترشح می‌شود و به هضم غذا کمک می‌کند. سلول‌های مجرایی (ductal cells) سلول‌های برون‌ریزی بوده که مجاری را پوشش می‌دهند. این مجاری نیز آنزیم‌های پانکراس را انتقال می‌دهند. تحقیقات پیشین نشان داده‌اند که سلول‌های پیش‌ساز مجاری که از سلول‌های بنیادی به وجود می‌آیند، می‌توانند به سلول‌های بتا تولیدکننده انسولین تمایز یابند.

اکنون در یک تحقیق اولیه محققان انستیتو قلب و دیابت بیکر در استرالیا ترکیبی از دارو‌های مصنوعی و طبیعی را برای تحریک سلول‌های پیش‌ساز مجرایی به کار برده‌اند تا آنها را به سلول‌های مشابه بتا تبدیل کنند که قادر به تولید انسولین هستند. محققان از یک مهارکننده مصنوعی به نام EZH۲ استفاده کردند که بیشتر برای درمان سرطان به کار می‌رود. در این تحقیق از تریپتولید که از یک گیاه چینی گرفته شده و دارای خواص ضدالتهابی و ضد سرطانی است نیز استفاده شد.

ژن EZH۲ دستورالعمل‌هایی را برای ساخت آنزیمی ارائه می‌دهد که بخشی از یک گروه پروتئینی به نام کمپلکس سرکوب‌کننده polycomb-۲ را تشکیل می‌دهد. با خاموش کردن ژن‌های خاص، این مجموعه در تعیین نوع سلولی که یک سلول نابالغ در نهایت تبدیل می‌شود، نقش دارد. هنگامی که آنزیم EZH۲ بیش‌ازحد فعال می‌شود، رشد سلولی کنترل نمی‌شود و ممکن است به سرطان منجر شود. هنگامی‌که از مهارکننده EZH۲ برای درمان سرطان استفاده می‌شود، آنها آنزیم مذکور را هدف می‌گیرند و سرکوب می‌کنند و در نتیجه رشد تومور‌ها متوقف می‌شود.

محققان متوجه شدند ترکیب مهارکننده EZH۲ و تریپتولید قابلیت پیش ساز سلول‌های مجرای انسان را احیا کرده و آنها را فعال می‌کند. به این ترتیب آنها می‌توانند به سلول‌های بتا متمایز شوند. هنگامی‌که این سلول‌ها در معرض محلول گلوکز قرار گرفتند، سلول‌ها انسولین ساختند؛ البته به تحقیقات بیشتری برای بررسی مکانیسم عملکرد این دارو‌ها نیاز است، اما به گفته محققان این پژوهش نشان می‌دهد روش مذکور ظرفیت ایجاد یک درمان جایگزین برای دیابت نوع یک را دارد.

انتهای پیام/

ارسال نظر