پیشنهاد سردبیر
از تنگه هرمز تا فضای مجازی در همایش ملی مهندسی کامپیوتر

دبیر ششمین همایش پژوهش‌های نوین در مهندسی کامپیوتر عنوان کرد

رصدخانه مراغه؛ احیاکننده علم در دل ویرانی‌های مغول

یک استاد تاریخ و عضو هیئت علمی دانشگاه آزاد در گفت‌وگو با آناتک:

19:47 27 / 12 /1401
دانشمندان هشدار می دهند؛

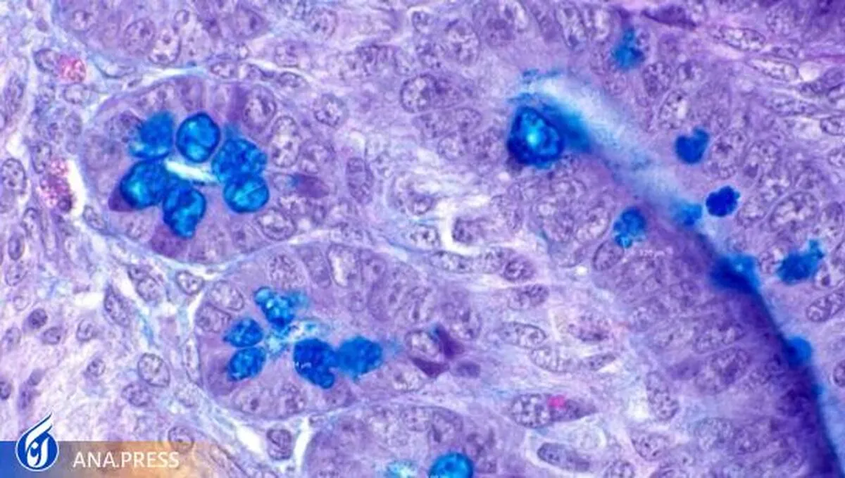
نانوذرات رنگ آمیزی مواد غذایی ممکن است به روده انسان آسیب برساند

بر اساس مطالعه اخیر دانشمندان دانشگاه کورنل و بینگهمتون، نانوذرات اکسید فلزی که به طور مکرر به عنوان رنگ‌های خوراکی و عوامل ضد انعقاد در صنایع غذایی مورد استفاده قرار می‌گیرند، ممکن است به بخش‌های خاصی از روده انسان آسیب برساند.

به گزارش گروه دانش و فناوری خبرگزاری آنا به نقل از وبگاه (سای تک دیلی)، الاد تاکو نویسنده ارشد، استادیار علوم غذایی در کرنل، گفت: ما دریافتیم که نانوذرات خاص - دی اکسید تیتانیوم و دی اکسید سیلیکون - که معمولاً در غذا استفاده می‌شوند ممکن است بر عملکرد روده تأثیر منفی بگذارند. آن‌ها تأثیر منفی بر پروتئین‌های کلیدی گوارشی و جذبی دارند.

در مطالعه خود، تیم تحقیقاتی دوز‌های معادل انسان از دی اکسید تیتانیوم و دی اکسید سیلیکون را در سیستم آزمایشگاهی تاکو در داخل بدن اعمال کردند که پاسخ سلامتی را ارائه می‌دهد که بسیار شبیه به بدن انسان است.

دانشمندان این نانوذرات را به تخم مرغ تزریق کردند. پس از بیرون آمدن جوجه ها، دانشمندان تغییراتی را در بیومارکر‌های عملکردی، مورفولوژیکی و میکروبی در خون، دوازدهه (روده فوقانی) و سکوم (کیسه‌ای متصل به روده) تشخیص دادند.

تاکو گفت: ما این نانوذرات را به صورت روزانه مصرف می‌کنیم. ما واقعاً نمی‌دانیم که چقدر مصرف می‌کنیم. ما واقعاً از اثرات دراز مدت این مصرف اطلاعی نداریم. در اینجا، ما توانستیم برخی از این اثرات را نشان دهیم، که کلیدی برای درک سلامت و توسعه دستگاه گوارش است.

با وجود این یافته ها، دانشمندان هنوز خواستار پایان دادن به استفاده از این نانوذرات نیستند.

تاکو گفت: بر اساس اطلاعات، پیشنهاد می‌کنیم به سادگی آگاه باشید. علم باید تحقیقات بیشتری را بر اساس یافته‌های ما انجام دهد. ما در‌ها را برای بحث باز می‌کنیم.

انتهای پیام/

ارسال نظر