بازسازی آسیبهای مغزی با هیدروژلهای مهندسی شده
به گزارش خبرنگار گروه دانش و فناوری خبرگزاری آنا، در حالی که ایده مغزهای در حال رشد ممکن است شبیه یک فیلم علمی تخیلی به نظر برسد، یک گروه از محققان بین رشتهای گام بزرگی را در این مسیر برداشته اند. چرا که برخلاف بافت سایر قسمتهای بدن، مانند پوست، بافت عصبی در مغز پس از آسیبدیدگی بازسازی نمیشود. با این حال، ممکن است روزی با کمک نوع جدیدی از هیدروژل بتوان این کار را انجام داد.
اولین قدم برای محققان این بود که یک ماده هیدروژلی بسازند که در آن سلولهای بنیادی عصبی بتوانند زنده بمانند. به همین دلیل آنها از مواد هیدروژل در ترکیب با سلولهای بنیادی عصبی برای رشد بافت مغزی جدید استفاده کردند.
ژل پلیمری زیست سازگار که توسط تیمی از دانشمندان دانشگاه هوکایدو ژاپن ساخته شده است از بخشهای مساوی مونومرهایی با بار مثبت و منفی تشکیل شده است چرا که این ترکیب بهترین چسبندگی سلولی را به همراه دارد.

تصویر ایمونوفلورسانس از نورون ها و سلول های آستروسیت در هیدروژل مهندسی شده
دانشمندان نسبت مولکولهای متقاطع در هیدروژل را تنظیم کردند تا سفتی شبیه بافت مغزی به آن بدهند، همچنبن در آن منافذ ریزی به عنوان مکانهای "لانه سازی" سلول ایجاد کردند که میتوان سلولها را در آن کشت داد. سپس ژل را در یک سرم فاکتور رشد خیس کردند تا رشد رگهای خونی را تقویت کند و پس از آن با جراحی در نواحی آسیب دیده مغز موش کاشته شد.
ساتوشی تانیکاوا، نویسنده اصلی این مقاله میگوید: «وقتی ساختار سهبعدی هیدروژلهای متخلخل را دیدم، فکر کردم که میتوان از آنها در درمانهای احیاکننده به عنوان داربستی برای رشد سلولهای عصبی استفاده کرد.»
سه هفته بعد، مشخص شد که سلولهای ایمنی و سلولهای عصبی از بافت مغز اطراف به داخل هیدروژل کاشته شده مهاجرت کردهاند، به علاوه رگهای خونی درون آن شروع به رشد کردهاند. در این مرحله، محققان سلولهای بنیادی عصبی را به هیدروژل تزریق کردند.
پس از یک دوره ۴۰ روزه، اکثریت قریب به اتفاق آن سلولها زنده مانده بودند و برخی از آنها به سلولهای عصبی و سلولهای آستروسیت نگهدارنده نورون تمایز پیدا کردند. علاوه بر این، برخی از آن سلولهای عصبی جدید از هیدروژل به بافتهای مغزی اطراف مهاجرت کردهاند. این اتفاق نشان میدهد که هیدروژل با بافت مغز ادغام شده است.

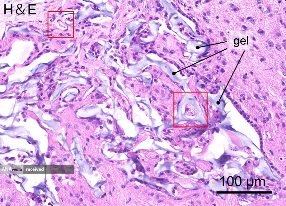
سلولهای بنیادی عصبی، ۶۴ روز پس از پیوند به هیدروژل (کادرهای قرمز رنگ عروق خونی را نشان میدهد)
همچنین مشخص شد که زمان انجام مراحل مختلف بسیار مهم است. زمانی که دانشمندان سعی کردند همزمان ژل را در مغز بکارند و سلولهای بنیادی را اضافه کنند، این روش ناموفق بود.
این مطالعه یک گام مهم به سمت توسعه درمانهای شامل بازسازی بافت مغز را نشان میدهد. مراحل بعدی شامل مطالعه زمان بهینه پیوند و تأثیر پاسخ التهابی بر سلولهای پیوندی است.
تانیکاوا میگوید: «شرایطی که بر عروق خونی مغز تأثیر میگذارد، مانند انفارکتوس مغزی، یک بیماری بزرگ است. این بیماری نه تنها میزان مرگ و میر بالایی دارند، بلکه افرادی که زنده میمانند با عوارض بعدی شدید دست و پنجه نرم میکنند. من فکر میکنم این تحقیق به پایهای برای درمانهای پزشکی تبدیل خواهد شد که میتواند به چنین بیمارانی کمک کند.»
مقالهای در مورد این تحقیق که توسط ساتوشی تانیکاوا و شینیا تاناکا رهبری شد، در مجله Scientific Reports منتشر شده است.
دانشمندان دانشگاه جورجیا قبلاً یک هیدروژل «چسب مغزی» ساخته بودند که با موفقیت از آن برای درمان آسیبهای مغزی در موشها استفاده کردند.
انتهای پیام/


