تشخيص النزيف الدماغي عبر الذكاء الاصطناعي في إيران
۰۸ اسفند ۱۴۰۴
  • تشخيص النزيف الدماغي عبر الذكاء الاصطناعي في إيران

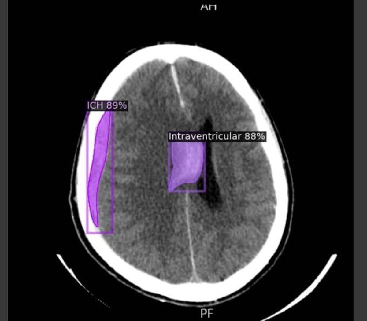
    تمكّن باحثون من جامعة كاشان للعلوم الطبية في إيران من تطوير نظام تشخيصي قائم على الذكاء الاصطناعي قادر على كشف النزيف الدماغي وأمراض مثل الزهايمر، الأورام الدماغية، والتصلب المتعدد (MS) من خلال صور الأشعة المقطعية، بسرعة ودقة وتكلفة أقل مقارنة بالطرق التقليدية.
    رمز الخبر : 7612

    وفي تصريح خاص لوكالة "آنا"، أوضح الدكتور محمد أفشاري، خريج جامعة كاشان وقائد الفريق البحثي، أنّ النظام تم تدريبه باستخدام 30 ألف صورة أشعة مقطعية (ما يعادل بيانات 5 آلاف مريض)، وهو قادر على التمييز بدقة بين الصور السليمة وغير السليمة.

    وأشار أفشاري إلى أن الهدف الأولي للمشروع كان تشخيص السكتات الدماغية النزيفية، إلا أنّ النظام يمتلك إمكانات للتوسّع ليشمل أمراضاً أخرى مثل الزهايمر وMS. ومن أبرز مزايا هذا الابتكار تقليص وقت تحليل الصور من قبل الأطباء وتقليل نسبة الأخطاء البشرية.

    وأكد أن استخدام هذه التكنولوجيا داخل البلاد سيساهم في تسريع تشخيص الأمراض وخفض تكاليف العلاج عبر الكشف المبكر، كما أنه قد يُحدث تحولاً كبيراً في نظام الرعاية الصحية ويُسهم في إيصال الخدمات التشخيصية المتقدمة إلى المناطق النائية والمحرومة.

    وانتقد أفشاري غياب الدعم الكافي من الجهات المعنية، موضحاً أنّ مثل هذه المشاريع تتلقى دعماً مالياً بملايين الدولارات في الدول المتقدمة، بينما في إيران غالباً ما تعتمد على التمويل الذاتي من قبل الباحثين.

    ودعا وزارة الصحة والجامعات والهيئات الحكومية إلى توفير التمويل والبنية التحتية اللازمة لتسويق المشروع وتوسيعه، مشيراً إلى أنه في حال توفر الدعم المطلوب، فإن النظام سيكون جاهزاً للتطبيق العملي في المستشفيات خلال عام إلى عامين.

    وختم أفشاري بالقول إن هذا الإنجاز يشكل خطوة محورية في مجال الطب المدعوم بالذكاء الاصطناعي، ليس فقط لإنقاذ الأرواح، بل ولتعزيز موقع إيران كدولة رائدة في تكنولوجيا التشخيص الطبية على مستوى العالم. ويُذكر أن هذه التكنولوجيا التي طُوّرت سابقاً في دول متقدمة كأميركا وأوروبا، قد حصلت على جائزة في فعالية الذكاء الاصطناعي السنوية في "بارك برديس" الإيراني.

    إرسال تعليق
    captcha